10 AÑOS DE EXPERIENCIA

Programe su próxima cita hoy mismo. Queremos ayudarle a cuidar su salud

952776_b22cf1358ebb4c9ab9e2d616b7d14590~mv2

oDONTOLOGA

dra. vanessa valencia



<

CEDULA PROFESIONAL: 08763031
ESPECIALIDAD EN OTODONCIA: 10337030

PORQUÉ NOSOTROS

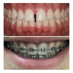
NUESTRAS ESPECIALIDADES

Nuestro objetivo es satisfacer las necesidades dentales de cada miembro de su familia a través de un servicio excepcional en todos los aspectos de la odontología moderna. Programe su próxima cita hoy mismo. Queremos ayudarle a cuidar su salud.

TU SONRISA PERFECTA

eMPIEZA
¡HOY!

LLAMANOS.

¿LISTO PARA CUIDAR TU SONRISA?

LLAMANOS.

tU SALUD BUCAL ES NUESTRA PRIORIDAD